- Profilaxis dental (limpieza)
- Gingivectomía y gingivoplastía
- Cirugía periodontal cerrada
- Cirugía periodontal abierta (colgajo mucoperióstico), con ostectomía y osteoplastia
- Férula periodontal de alambre, acrílico, resina y fibra de vidrio (simples y combinadas)
- Amputación radicular
- Hemisección radicular
Periodoncia
Introducción Los tejidos de sostén de los dientes comúnmente conocidos como periodonto, están formados por la encía, el cemento radicular, el ligamento periodontal y el hueso alveolar. Los tejidos periodontales conforman una parte estructural y funcional completamente separada de la pulpa dental la cual de por si le da vida a la zona interna del diente. El periodonto es una unidad conformada por millones de células con diferentes funciones tales como la formativa (fibroblastos, cementoblastos, osteoblastos, osteoclastos), neurológica (sensitiva y de propiocepción), de defensa (linfocitos, granulocitos, líquido crevicular, etc.), nutricionales (alta irrigación), y muchas más, y que tienen como función primordial amortiguar las fuerzas de la masticación y retener los dientes en el maxilar y la mandíbula.
Haz CLICK sobre la imagen para ver descripción.
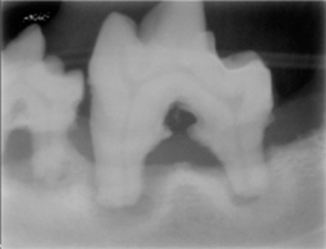
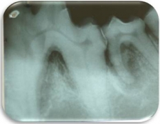
Los problemas que aquejan los tejidos periodontales son varios aunque su etiología primaria siempre es la misma, el alimento y las bacterias que se pegan a los dientes formando la placa dento bacteriana (PDB) y el sarro que destruyen lentamente pero de manera progresiva los tejidos de sostén dental. La enfermedad periodontal es la enfermedad de mayor incidencia y prevalencia en perros y gatos por lo que su diagnóstico, prevención y tratamiento es uno de los retos que el médico veterinario tiene en su trabajo clínico. La enfermedad periodontal es la causa más común de enfermedades como endocarditis bacteriana y artritis infecciosa por lo que el propietario y médico tratante deben de tener especial interés en la prevención y tratamiento de esta patología. La enfermedad periodontal se clasifica dependiendo de los tejidos afectados así como según el grado de destrucción del tejido óseo. Según el tejido afectado como “Gingivitis” cuando afecta la encía libre y papilar, y “Periodontitis” cuando ya afecta el tejido óseo y el ligamento periodontal formando destrucciones del hueso alveolar muy características de la enfermedad denominadas bolsas periodontales las cuales según la forma de destrucción pueden clasificarse como horizontales o verticales. La periodontitis se diagnóstica con una sonda periodontal que es un instrumento que tiene líneas de medición en su punta de trabajo y que se introduce en el surco gingival para medir en milímetros la destrucción ósea alveolar. Otro método de diagnóstico es la radiografía periapical en la cual se puede observar claramente el grado y forma de destrucción ósea alveolar.
Haz CLICK sobre la imagen para ver descripción.
En el caso de la gingivitis, se clasifica según el tejido presente como “Gingivitis simple” en la cual la encía libre y papilar se encuentra hiperémica y sangrante; “Gingivitis hiperplásica” cuando la encía se encuentra con un aumento muy considerable en su tamaño y presenta un tejido inflamatorio hiperémico, sangrante e hiperplásico; y “Gingivitis hiperplásica fibrosa” cuando la encía está muy aumentada de tamaño y con una gran cantidad de tejido fibroso que se caracteriza por no ser hiperémico ni sangrante, sino que es de color rosa muy claro e inclusive hasta blanco y muy duro. Una de las características de las gingivitis hiperplásica y la gingivitis hiperplásica fibrosa es la presencia de bolsas periodontales falsas, ya que al medir la profundidad del surco este aparece aumentado, pero es debido al aumento del tamaño de la encía libre y papilar y no a la perdida de estructura ósea alveolar.
Haz CLICK sobre la imagen para ver descripción.
La periodontitis se clasifica como “Periodontitis leve” cuando el tejido óseo se ha destruido máximo en el tercio cervical; “Periodontitis moderada” cuando la destrucción ósea ha llegado al tercio medio de la raíz y “Periodontitis severa” cuando la destrucción ósea ha llegado al tercio apical de la raíz. La movilidad dental ligera aparece en la periodontitis moderada y la movilidad dental excesiva aparece en la periodontitis severa.
Haz CLICK sobre la imagen para ver descripción.
Uno de nuestros objetivos es la enseñanza de medidas higiénicas para realizar en casa de manera cotidiana como es el cepillado dental. El cepillado dental es fundamental para el control de la PDB con el fin de evitar la formación de sarro y de enfermedad periodontal. La técnica que recomendamos incluye adaptar al paciente al cepillado dental desde cachorro a manera de juego para que el paciente se adapte rápidamente y usar pastas dentales para perros o gatos las cuales contienen elementos muy palatables y sobre todo no contienen flúor el cual es un elemento muy toxico al ser deglutido. El cepillado debe realizarse por cuadrantes y los dientes se cepillan de la encía hacia la zona de oclusión realizando un medio giro. Los dientes se cepillan de esta manera por las caras externas e internas y en la zona donde muerden se realizan movimientos giratorios. En caso de cirugía periodontal enseñamos el uso de cepillos interdentales para zonas de furcaciones. Nuestros pacientes después de un corto periodo de adaptación aceptan el cepillado dental y de furcaciones.
Haz CLICK sobre la imagen para ver descripción.
Profilaxis Dental
Es un tratamiento preventivo como su nombre lo dice. La profilaxis dental tiene como objetivo eliminar la PDB y el sarro tanto supragingival como subgingival. La profilaxis dental no elimina la enfermedad periodontal pero si la controla. Existen casos en que hay presencia de sarro tanto supragingival como subgingival y solo existe gingivitis aunque no es lo común. Regularmente cuando existe sarro existe perdida ósea, por lo que la profilaxis al eliminar el sarro presente previene la evolución de la enfermedad periodontal. Existen diversos métodos para eliminar la PDB y el sarro o tártaro dental. El método manual es el más común pero el más tardado y el menos recomendado, requiere del uso de instrumental de raspado y curetaje y en el caso de los animales usamos pinzas de ortodoncia para separar el sarro del diente. El siguiente método es la fresa para profilaxis de alta velocidad. Este método es más rápido pero tiene el gran inconveniente de usar la rotación de alta velocidad que puede ocasionar un sobrecalentamiento en el diente provocando la necrosis pulpar del mismo, o un desgaste dental innecesario por la falta de control en la presión y velocidad ejercida en los dientes tratados. El método de la pieza dental sónica es mucho más adecuado ya que usa el movimiento lineal de la punta de trabajo la cual es accionada por aire a presión, además de que puede expulsar agua a través de la punta de trabajo lo cual permite una mejor limpieza y visibilidad. El único inconveniente es que no tiene la fuerza necesaria que a veces se requiere para eliminar los pedazos de sarro más unidos al diente. El método más recomendado es el ultrasonido ya sea con piezas magnetorestricticas o piezoeléctricas, en donde el movimiento que se produce en la punta de la pieza es elíptico-lineal a una velocidad de 25 000 ciclos por minuto y arrojan agua para enfriamiento y limpieza de sangre, sarro y detritus. Los únicos inconvenientes son la producción de calor que se controla con el agua de enfriamiento y la cavitación del agua que forma un espray que puede servir de vehículo para los microorganismos que pueden llegar a la cara del médico tratante. Nuestro centro de atención cuenta con los dos tipos de aparatos de ultrasonido con lo cual logramos una profilaxis dental de excelente calidad en un tiempo muy corto por lo que usamos menos anestésico general en el paciente. Después de la eliminación del sarro y PDB se pulen los dientes con una copa de hule y un cepillo a baja velocidad para tratar de evitar que el alimento se pegue fácilmente a los dientes y por lo tanto no se forme sarro dental.
Haz CLICK sobre la imagen para ver descripción.




















